醫療資訊
2025.02.12 | by 林耿立 醫師
第四期大腸直腸癌的生存之戰:手術治療如何逆轉病情?
第四期大腸直腸癌的生存之戰:手術治療如何逆轉病情?
亞東紀念醫院 林耿立 醫師
Feb 12, 2025 提供
未經本會允許,請勿隨意擷取內容使用。
自廿一世紀以來,大腸直腸癌一直是台灣發生率最高的癌症,連續多年在排行榜上名列前茅,從2006年至2020年皆穩居第一。目前每年約有一萬六千多人新罹患大腸直腸癌,影響無數家庭。儘管因為癌症篩檢的普及和診斷技術的進步,大腸直腸癌的發生率自2019年起開始下降,但仍然有近四分之一的病患在確診時已為第四期,預後相當地不理想;即便接受了完整的治療,其五年存活率依然不到兩成。
然而,近來許多研究顯示,透過精準的評估與積極的手術治療,不僅能夠顯著延長第四期患者的存活,甚至達到治癒的機會。本篇文章將針對第四期大腸直腸癌的手術治療方式,做一個淺顯易懂的解說。
▲化學治療的進步,為患者帶來生存機會
第四期大腸直腸癌的定義是:癌細胞已經轉移到大腸和直腸以外的其他器官,如肝臟、肺臟或是較為少見的骨骼、腦部,或在腹膜與大網膜蔓延,稱之為遠端轉移。回顧二十幾年前,約有一半的腸癌患者在確診時即為第四期;當時的治療方式相對有限,大多數病人只能接受化學治療,甚至可能被認為「無藥可救」。
如今,隨著醫療的進步,化學治療、標靶治療與免疫治療的發展,許多患者的平均存活期能夠延長半年到三年不等,甚至有少部分能夠長期存活。這些治療能夠有效延緩病情進展,為後續的治療方案提供更大的可能性。
▲積極切除遠端轉移的腫瘤能夠改變預後
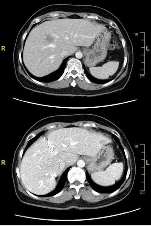
許多最新研究證實,對於某些第四期的患者而言,若能積極切除遠端轉移的腫瘤,將能夠顯著改善預後,甚至可能達到根治的機會。例如,大腸直腸癌最常見的肝轉移,經由手術切除或射頻燒灼技術(RFA)處理,可有效減少腫瘤負擔,並提高存活率。對於肺部轉移的病患,若病灶數量不多,也可以透過胸腔鏡微創手術切除。至於腦部轉移,雖然相對罕見,但對於單一病灶,手術切除仍是較佳選擇,並輔以放射線治療加強控制腫瘤的生長。
這些手術方法雖然無法適用於所有第四期病患,但對於符合條件的患者而言,確實能夠提升存活率,甚至提供長期存活的機會。
▲腹膜轉移:曾被視為無解,如今找到突破口
過去當大腸直腸癌擴散至腹膜時,幾乎被視為「無藥可救」。20年前我曾參與一場急診手術,主治醫師打開大腸癌病人的腹部,發現腹膜及大網膜滿布的轉移,隨即關閉肚子傷口;主治醫師說:這個人已經沒救了;當時,我第一次感受到末期病人的生命如同飄搖的風箏。然而,隨著醫療科技的進步,癌症減積手術(CRS)與腹腔內溫熱化療(HIPEC)的發展,讓這類患者的治療出現了轉機。
根據德國Pompiliu Piso在2018年的研究,接受CRS+HIPEC治療的腹膜轉移患者,中位存活期可延長至41個月;而北口大地在2023年發表的日韓共同研究更證實,患者的存活期甚至達51個月以上。過去被認為毫無希望的患者,現在透過積極治療,爭取到了更長的生存時間。然而,這類手術技術要求極高,風險也大,並非所有患者都適合。如何篩選適合的病人,讓他們從中獲益,是目前臨床醫學研究的重要課題。
▲切除腫瘤:不僅是救急,更能改善整體治療效果
除了遠端轉移的處理,原發腫瘤的切除對於第四期患者來說也同樣重要。未切除的原發腫瘤可能持續生長,並導致出血、腸阻塞或劇烈疼痛等併發症,使病人的生活品質下降,甚至影響後續治療的執行。
過去,第四期大腸直腸癌的病患一旦開始化療,往往會持續治療到生命結束或無法再做化療為止。但現在的治療趨勢更為積極,若能在適當時機切除原發腫瘤與部分轉移病灶,不僅能減少癌細胞對於局部環境造成的影響,進一步改善病人的生活品質及預後。
▲結語:醫病合作,共同迎戰癌症
儘管藥物治療日新月異,手術仍然是大腸直腸癌治療最重要的一環。如何整合化學治療、標靶治療與手術,提供最佳的個人化治療方案,就是我們大腸直腸外科專科醫師最重要的課題。即便是第四期的患者,透過完整的治療規劃與積極的手術介入,仍有機會延長存活期,甚至達到根治的目標。
這場與癌症的戰役,不只是醫療技術的較量,更是醫師與病患攜手合作的挑戰。選擇最佳的治療方案、積極面對,才有機會擊敗頑固的病魔,以戰勝癌症。
圖片說明:
1. 腹腔內溫熱化療的機器設備解說圖

2. 目前針對大直腸癌的肝臟轉移也建議以積極手術治療

醫療資訊 PDF檔:第四期大腸直腸癌的生存之戰:手術治療如何逆轉病情?
亞東紀念醫院 林耿立 醫師
Feb 12, 2025 提供
未經本會允許,請勿隨意擷取內容使用。
自廿一世紀以來,大腸直腸癌一直是台灣發生率最高的癌症,連續多年在排行榜上名列前茅,從2006年至2020年皆穩居第一。目前每年約有一萬六千多人新罹患大腸直腸癌,影響無數家庭。儘管因為癌症篩檢的普及和診斷技術的進步,大腸直腸癌的發生率自2019年起開始下降,但仍然有近四分之一的病患在確診時已為第四期,預後相當地不理想;即便接受了完整的治療,其五年存活率依然不到兩成。
然而,近來許多研究顯示,透過精準的評估與積極的手術治療,不僅能夠顯著延長第四期患者的存活,甚至達到治癒的機會。本篇文章將針對第四期大腸直腸癌的手術治療方式,做一個淺顯易懂的解說。
▲化學治療的進步,為患者帶來生存機會
第四期大腸直腸癌的定義是:癌細胞已經轉移到大腸和直腸以外的其他器官,如肝臟、肺臟或是較為少見的骨骼、腦部,或在腹膜與大網膜蔓延,稱之為遠端轉移。回顧二十幾年前,約有一半的腸癌患者在確診時即為第四期;當時的治療方式相對有限,大多數病人只能接受化學治療,甚至可能被認為「無藥可救」。
如今,隨著醫療的進步,化學治療、標靶治療與免疫治療的發展,許多患者的平均存活期能夠延長半年到三年不等,甚至有少部分能夠長期存活。這些治療能夠有效延緩病情進展,為後續的治療方案提供更大的可能性。
▲積極切除遠端轉移的腫瘤能夠改變預後
許多最新研究證實,對於某些第四期的患者而言,若能積極切除遠端轉移的腫瘤,將能夠顯著改善預後,甚至可能達到根治的機會。例如,大腸直腸癌最常見的肝轉移,經由手術切除或射頻燒灼技術(RFA)處理,可有效減少腫瘤負擔,並提高存活率。對於肺部轉移的病患,若病灶數量不多,也可以透過胸腔鏡微創手術切除。至於腦部轉移,雖然相對罕見,但對於單一病灶,手術切除仍是較佳選擇,並輔以放射線治療加強控制腫瘤的生長。
這些手術方法雖然無法適用於所有第四期病患,但對於符合條件的患者而言,確實能夠提升存活率,甚至提供長期存活的機會。
▲腹膜轉移:曾被視為無解,如今找到突破口
過去當大腸直腸癌擴散至腹膜時,幾乎被視為「無藥可救」。20年前我曾參與一場急診手術,主治醫師打開大腸癌病人的腹部,發現腹膜及大網膜滿布的轉移,隨即關閉肚子傷口;主治醫師說:這個人已經沒救了;當時,我第一次感受到末期病人的生命如同飄搖的風箏。然而,隨著醫療科技的進步,癌症減積手術(CRS)與腹腔內溫熱化療(HIPEC)的發展,讓這類患者的治療出現了轉機。
根據德國Pompiliu Piso在2018年的研究,接受CRS+HIPEC治療的腹膜轉移患者,中位存活期可延長至41個月;而北口大地在2023年發表的日韓共同研究更證實,患者的存活期甚至達51個月以上。過去被認為毫無希望的患者,現在透過積極治療,爭取到了更長的生存時間。然而,這類手術技術要求極高,風險也大,並非所有患者都適合。如何篩選適合的病人,讓他們從中獲益,是目前臨床醫學研究的重要課題。
▲切除腫瘤:不僅是救急,更能改善整體治療效果
除了遠端轉移的處理,原發腫瘤的切除對於第四期患者來說也同樣重要。未切除的原發腫瘤可能持續生長,並導致出血、腸阻塞或劇烈疼痛等併發症,使病人的生活品質下降,甚至影響後續治療的執行。
過去,第四期大腸直腸癌的病患一旦開始化療,往往會持續治療到生命結束或無法再做化療為止。但現在的治療趨勢更為積極,若能在適當時機切除原發腫瘤與部分轉移病灶,不僅能減少癌細胞對於局部環境造成的影響,進一步改善病人的生活品質及預後。
▲結語:醫病合作,共同迎戰癌症
儘管藥物治療日新月異,手術仍然是大腸直腸癌治療最重要的一環。如何整合化學治療、標靶治療與手術,提供最佳的個人化治療方案,就是我們大腸直腸外科專科醫師最重要的課題。即便是第四期的患者,透過完整的治療規劃與積極的手術介入,仍有機會延長存活期,甚至達到根治的目標。
這場與癌症的戰役,不只是醫療技術的較量,更是醫師與病患攜手合作的挑戰。選擇最佳的治療方案、積極面對,才有機會擊敗頑固的病魔,以戰勝癌症。
圖片說明:
1. 腹腔內溫熱化療的機器設備解說圖

2. 目前針對大直腸癌的肝臟轉移也建議以積極手術治療

醫療資訊 PDF檔:第四期大腸直腸癌的生存之戰:手術治療如何逆轉病情?

【附件下載】
TOP